En 2023, près de 100.000 cas de gonorrhée ont été diagnostiqués en Europe, rapporte lundi le Centre européen de prévention et de contrôle des maladies (ECDC). Cela représente un quadruplement des cas par rapport à 2014. La Belgique n'est pas épargnée par cette tendance à la hausse.
L'augmentation du nombre de cas en 2023 s'élève à 31% par rapport à 2022, selon l'ECDC. Les jeunes femmes de 20 à 24 ans sont particulièrement concernées (+46% des cas), de même que les jeunes hommes de 25 à 34 ans.
Les raisons de cette tendance ne sont pas claires mais l'ECDC avance comme explications possibles un moindre usage du préservatif et le fait d'avoir davantage de partenaires sexuels.
La hausse du nombre de diagnostics est d'ailleurs bien due à un nombre d'infections en hausse et pas seulement à un meilleur dépistage.
Autre motif d'inquiétude: la bactérie responsable de la gonorrhée est de plus en plus résistante aux antibiotiques.
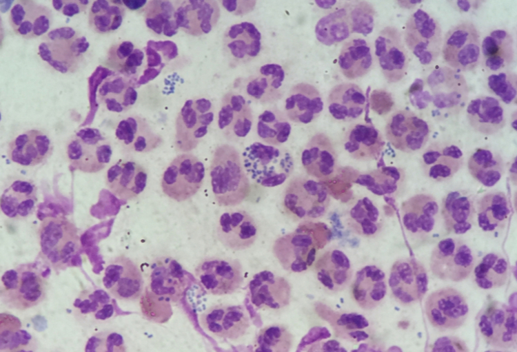
La gonorrhée, aussi appelée "chaude pisse", est une infection sexuellement transmissible (IST) provoquée par la bactérie Neisseria gonorrhoeae.
Selon l'ECDC, d'autres IST comme la syphilis et la chlamydia voient également leurs cas augmenter. La chlamydia est l'IST la plus fréquemment diagnostiquée en Belgique et en Europe.
La prévention, et en particulier le recours à un préservatif, reste donc particulièrement importante. Il est également important de se faire dépister régulièrement et de consulter un médecin en cas de symptômes.








